Think-Tank-to-Execution
Turning High-Impact Ideas into Thriving Companies in Oklahoma
The Challenge
Oklahoma doesn’t lack ideas, capital, or technology. What’s missing is the hard work of execution—turning enduring innovations into local realities.
Our Answer
Think-Tank-to-Execution (TM) model—where big ideas are sharpened by the brightest minds and advanced through an uncommon network of leaders dedicated to Oklahoma’s future. Aligning capital, operations and a relentless commitment to Oklahoma we build legacy’s worth starting today.
Join The Movement
Be the first to hear about Ventures,
Investment Opportunities, and impact in Oklahoma

Purpose Driven Ventures
Mission
Vision
Uniquely Oklahoman, we launch companies that align profit with purpose, tackling our most pressing challenges in healthcare, housing, and energy.
We build scalable ventures that merge disciplined capital with human-centered design to transform Oklahoma’s future economy.
To be the most trusted venture studio in the Midwest, proving that innovation can deliver both top-tier returns and enduring civic impact.
Our independent council of leaders safeguards mission integrity and approves only ventures with high impact and strong returns

“Because the future doesn’t build itself; we create ventures that turn the boldest ideas into lasting impact.”
— AARON DIEHL, CEO & Co-Founder
L-17 Capital Venture Studio
Investor First Model
Designed for transparency and growth — from first pitch to market success, we protect capital and accelerate returns. We invest in long-term sustainable ventures delivering profit with purpose
Think-Tank-to -Execution
Designed for transparency and growth — from first pitch to market success, we protect capital and accelerate returns. We invest in long-term sustainable ventures delivering profit with purpose
The Studio Approach
Designed for transparency and growth — from first pitch to market success, we protect capital and accelerate returns. We invest in long-term sustainable ventures delivering profit with purpose
Meet the Founders
L-17 Capital Venture Studio was founded by alumni of
Leadership Oklahoma City LOYAL Class XVII… the best class ever!
Our journey began with a shared commitment to impact-driven leadership, and it continues today with a mission to turn high-potential ideas into ventures that strengthen Oklahoma’s future.
Aaron Diehl
Don Darais
Mario Franklin
Mark Dimski, MD
Jim John, Esq.
Nathan Cook
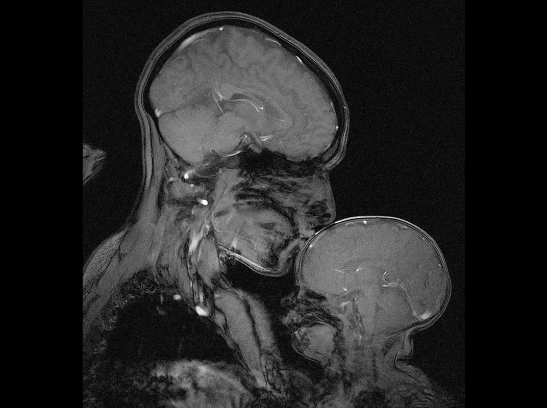
Featured Venture
Children across Oklahoma are waiting too long for answers. A three-month backlog for diagnostic imaging in December 2023 grew to seven months by June 2024, and by July 2025, families now face delays of over eleven months. These aren’t just numbers—they represent delayed treatments and unnecessary stress for children and parents.
PICO is built to change that, deploying technology on par with St. Jude Children’s Hospital to deliver faster, safer, and more accurate results:
50% Faster Scans – reducing wait times dramatically
60% Greater Resolution – sharper images, earlier detection
80% Reduction in Sedation – safer for children
Needleless Contrast – less invasive, more comfortable
Enhanced Cardiac Diagnostics – precision for complex cases
Lowest Dose Radiation on the Market – safer long-term outcomes
PICO is more than a medical center—it’s a lifeline for Oklahoma’s children.
Contact Us
Interested in working together? Fill out some info and we will be in touch shortly. We can’t wait to hear from you!